Call: (973) 857-9034
184 Pompton Avenue
Verona, NJ 07044
periodontist verona nj neuromuscular dentistry verona nj childrens dentist verona nj cosmetic dentist west orange dental implants verona nj dental implants verona nj invisalign verona nj

Smile Gallery

Hover over the slideshow to pause on an image.

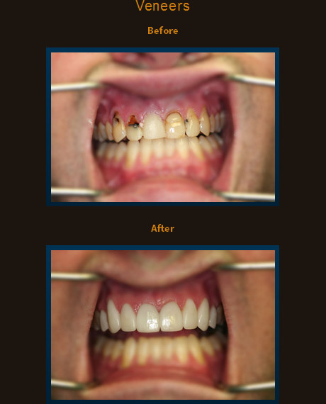
  • Twenty veneers were used here, the patient’s concerns were symmetry and color without ortho. Ten upper and ten lower veneers were added to complete this smile.
  • We added two custom colored Laminates to blend with the natural speckled appearance to blend with calcium deposits on the surrounding teeth.
  • Four veneers were added to improve this patient's smile.
  • This patient wasn’t happy with her smile. After four front veneers she now loves her new smile!
  • Instant Orthodontics using only 8 veneers on upper teeth.
  • This smile was corrected using with 4 veneers.
  • Dr. Scurti improved this smile with 8 veneers.
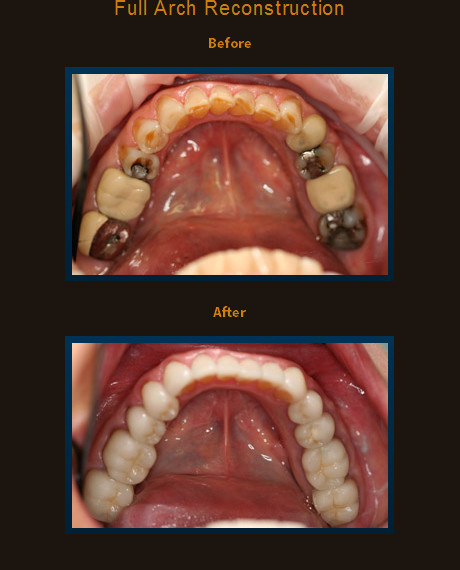
  • Full arch reconstruction to establish proper bite and function. All lower teeth were addressed and restored with combination of crowns and veneers.
  • Smile redesign with upper and lower veneers.
  • Dr. Scurti was able to save the patients front teeth by removing decay and placing 8 porcelain veneers.
  • Combination of upper and lower implants, crowns and veneers were placed to address patients TMJ and improve smile.
 
Implant Dentistry Click to Save Money Now!
184 Pompton Avenue, Verona, NJ 07044 USA
Michael Scurti DMD (973) 857-9034